
- 3
- 1
- 6
To Quiz Yourself: Select OFF by clicking the button to hide the diagnosis & additional resources under the case.
Quick Browser: Select ON by clicking the button to hide the additional resources for faster case review.
CASE NUMBER
73
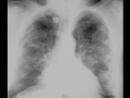
Diagnosis
Calcified Pleural Plaques on Chest X-ray
Note
Patient with asbestos related pleural disease. Chest x-ray demonstrates calcified pleural plaques.
THIS IS CASE
73
OF
129
