
- 6
- 7
- ,
- 0
- 7
- 8
To Quiz Yourself: Select OFF by clicking the button to hide the diagnosis & additional resources under the case.
Quick Browser: Select ON by clicking the button to hide the additional resources for faster case review.
CASE NUMBER
8,651
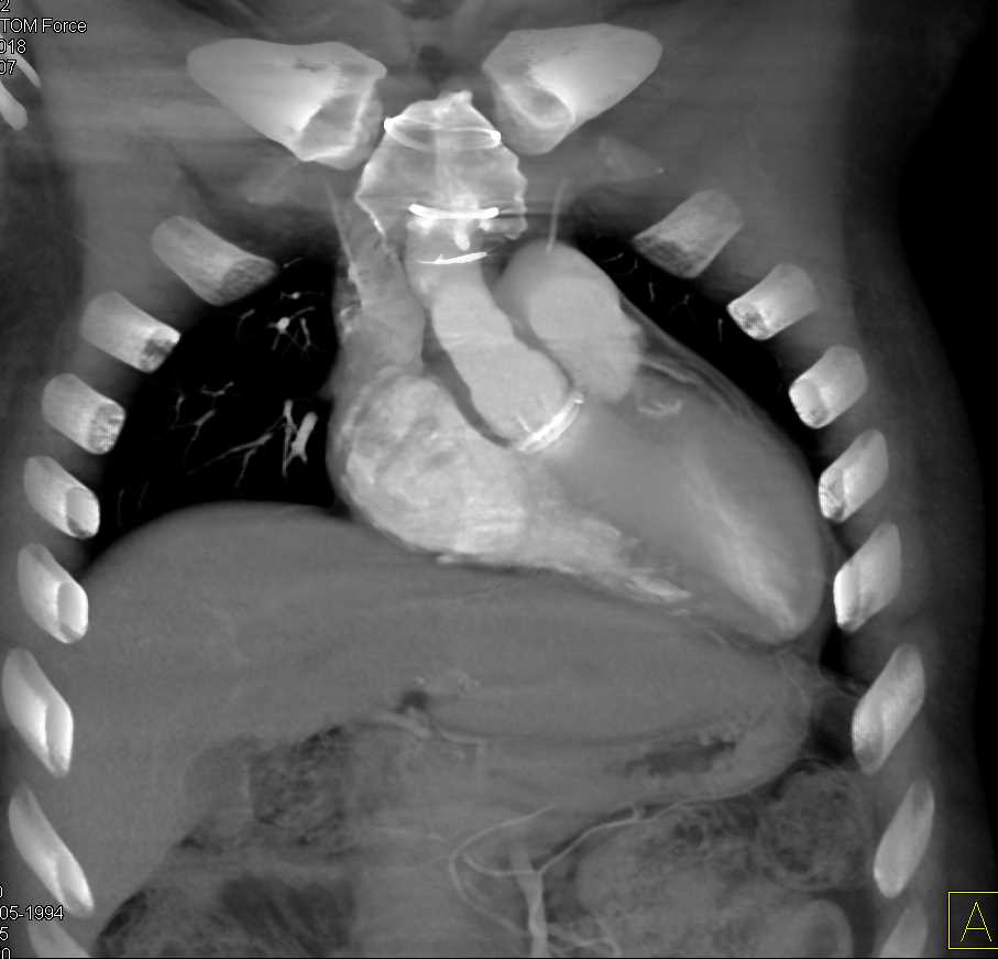
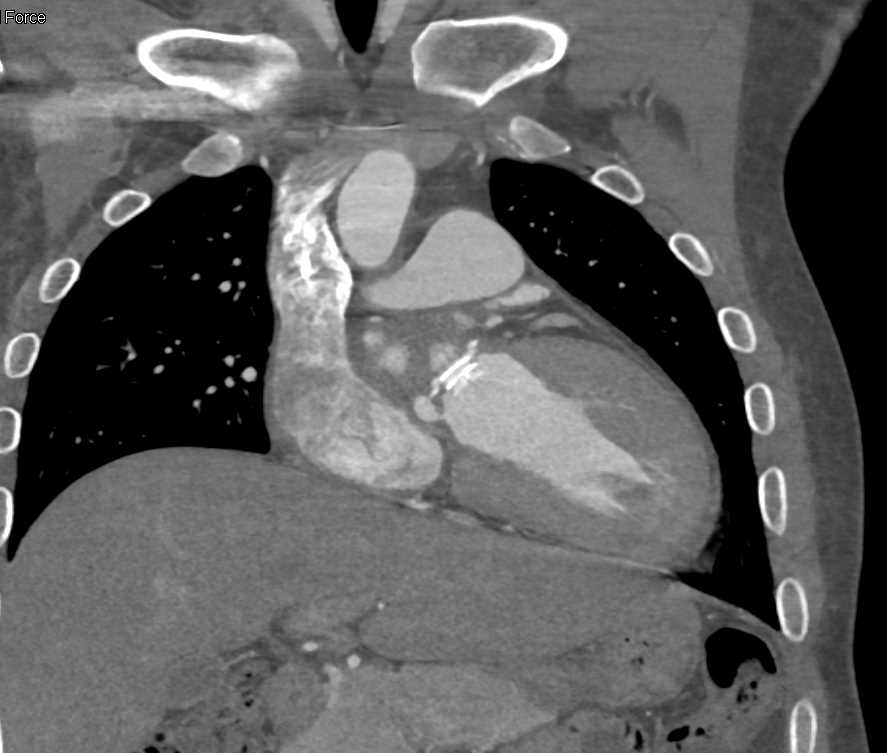
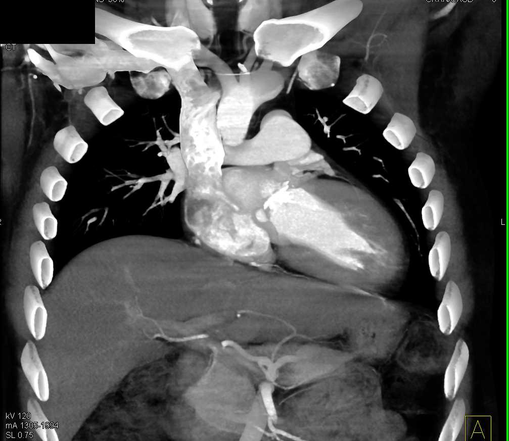
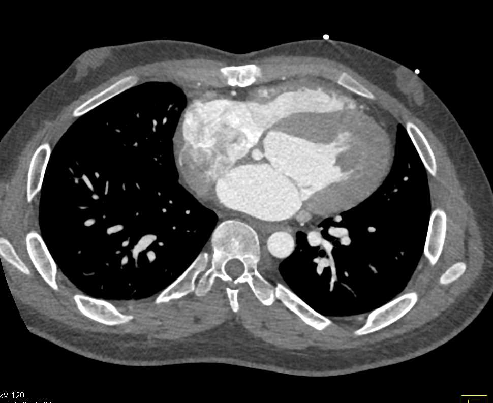
Diagnosis
Aortic Valve Repair
THIS IS CASE
8,651
OF
8,651
