
- 6
- 7
- ,
- 0
- 3
- 6
To Quiz Yourself: Select OFF by clicking the button to hide the diagnosis & additional resources under the case.
Quick Browser: Select ON by clicking the button to hide the additional resources for faster case review.
CASE NUMBER
8,313
Diagnosis
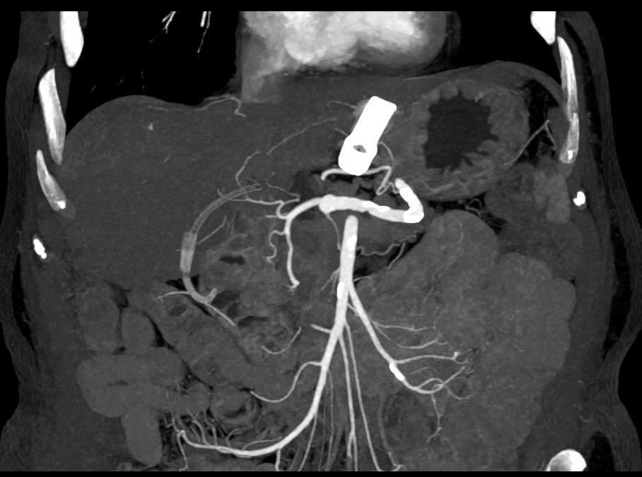
Gastroduodenal Artery (GDA) on MIP Imaging
THIS IS CASE
8,313
OF
8,647
