
- 6
- 7
- ,
- 0
- 3
- 6
To Quiz Yourself: Select OFF by clicking the button to hide the diagnosis & additional resources under the case.
Quick Browser: Select ON by clicking the button to hide the additional resources for faster case review.
CASE NUMBER
8,244
Diagnosis
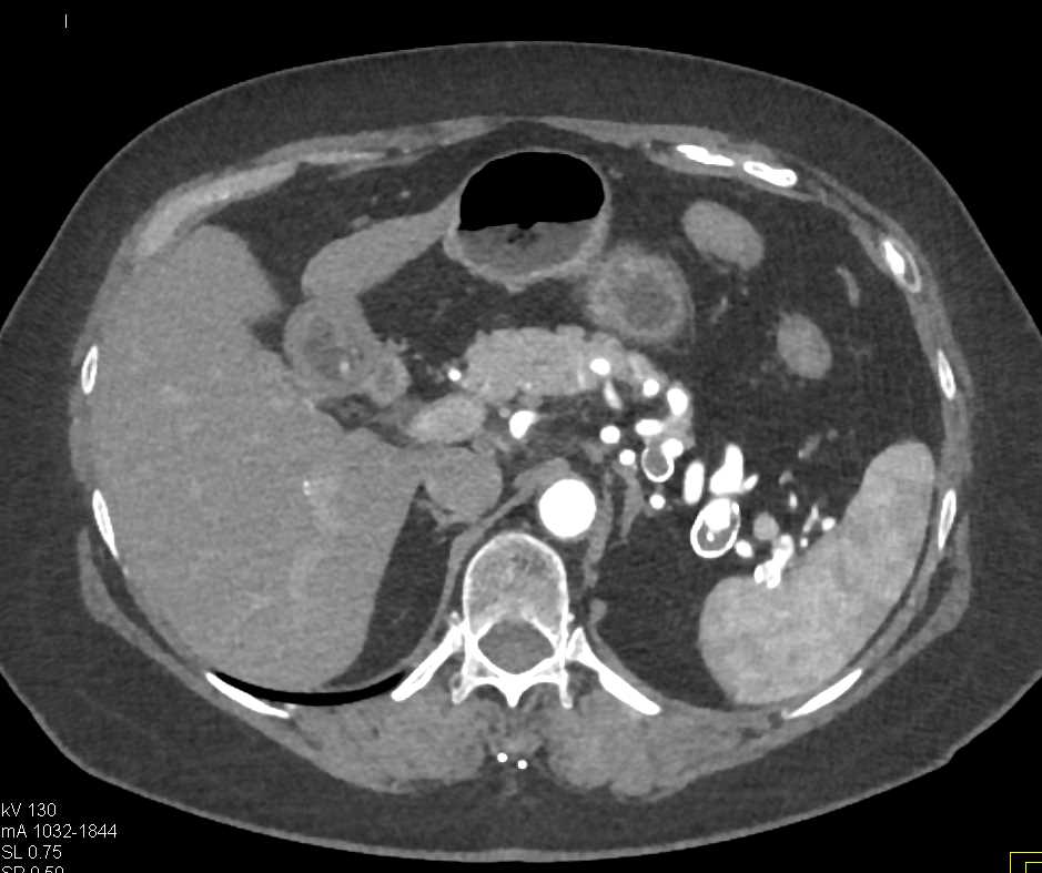
Carcinoid Tumor Root of Mesentery with Desmoplastic Reaction
THIS IS CASE
8,244
OF
8,647
