
- 6
- 7
- ,
- 0
- 3
- 6
To Quiz Yourself: Select OFF by clicking the button to hide the diagnosis & additional resources under the case.
Quick Browser: Select ON by clicking the button to hide the additional resources for faster case review.
CASE NUMBER
7,423
Diagnosis
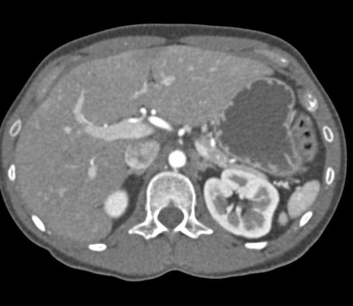
Hepatocellular Carcinoma (Hepatoma) Infiltrates Liver and Extends into Inferior Vena Cava (IVC) and Right Atrium
THIS IS CASE
7,423
OF
8,647
