
- 6
- 7
- ,
- 0
- 8
- 8
To Quiz Yourself: Select OFF by clicking the button to hide the diagnosis & additional resources under the case.
Quick Browser: Select ON by clicking the button to hide the additional resources for faster case review.
CASE NUMBER
7,441
Diagnosis
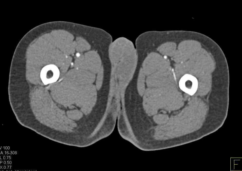
May-Thurner Syndrome (MTS) with Stents in Place
THIS IS CASE
7,441
OF
8,652
