
- 6
- 7
- ,
- 0
- 3
- 6
To Quiz Yourself: Select OFF by clicking the button to hide the diagnosis & additional resources under the case.
Quick Browser: Select ON by clicking the button to hide the additional resources for faster case review.
CASE NUMBER
6,058
Diagnosis
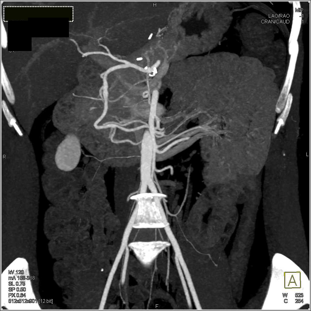
Normal Vascular Anatomy Especially Renal Artery and Veins
THIS IS CASE
6,058
OF
8,647
