
- 6
- 7
- ,
- 0
- 3
- 6
To Quiz Yourself: Select OFF by clicking the button to hide the diagnosis & additional resources under the case.
Quick Browser: Select ON by clicking the button to hide the additional resources for faster case review.
CASE NUMBER
6,017
Diagnosis
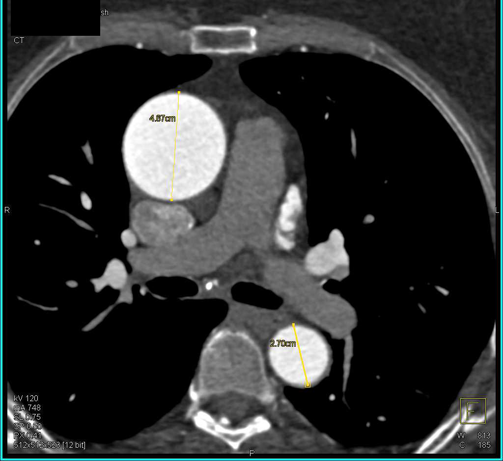
Dilated Ascending Aorta
THIS IS CASE
6,017
OF
8,647
