
- 6
- 7
- ,
- 0
- 3
- 6
To Quiz Yourself: Select OFF by clicking the button to hide the diagnosis & additional resources under the case.
Quick Browser: Select ON by clicking the button to hide the additional resources for faster case review.
CASE NUMBER
5,906
Diagnosis
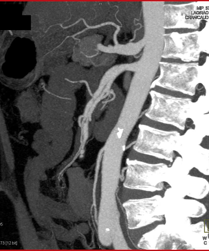
Recurrent Hepatocellular Carcinoma (Hepatoma) Invades the Inferior Vena Cava (IVC)
THIS IS CASE
5,906
OF
8,647
