
- 6
- 7
- ,
- 0
- 3
- 6
To Quiz Yourself: Select OFF by clicking the button to hide the diagnosis & additional resources under the case.
Quick Browser: Select ON by clicking the button to hide the additional resources for faster case review.
CASE NUMBER
5,657
Diagnosis
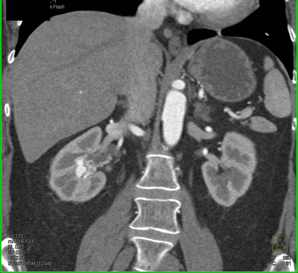
End Stage Renal Disease with Collaterals due to Superior Vena Cava (SVC) Occlusion
THIS IS CASE
5,657
OF
8,647
