
- 6
- 7
- ,
- 0
- 8
- 8
To Quiz Yourself: Select OFF by clicking the button to hide the diagnosis & additional resources under the case.
Quick Browser: Select ON by clicking the button to hide the additional resources for faster case review.
CASE NUMBER
4,865
Diagnosis
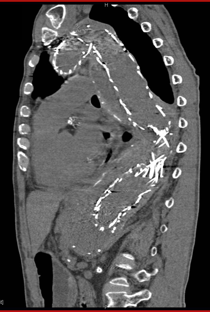
CTA Runoff with Vascular Grafts and Peripheral Vascular Disease (PVD)
THIS IS CASE
4,865
OF
8,652
