
- 6
- 7
- ,
- 0
- 7
- 8
To Quiz Yourself: Select OFF by clicking the button to hide the diagnosis & additional resources under the case.
Quick Browser: Select ON by clicking the button to hide the additional resources for faster case review.
CASE NUMBER
4,691
Diagnosis
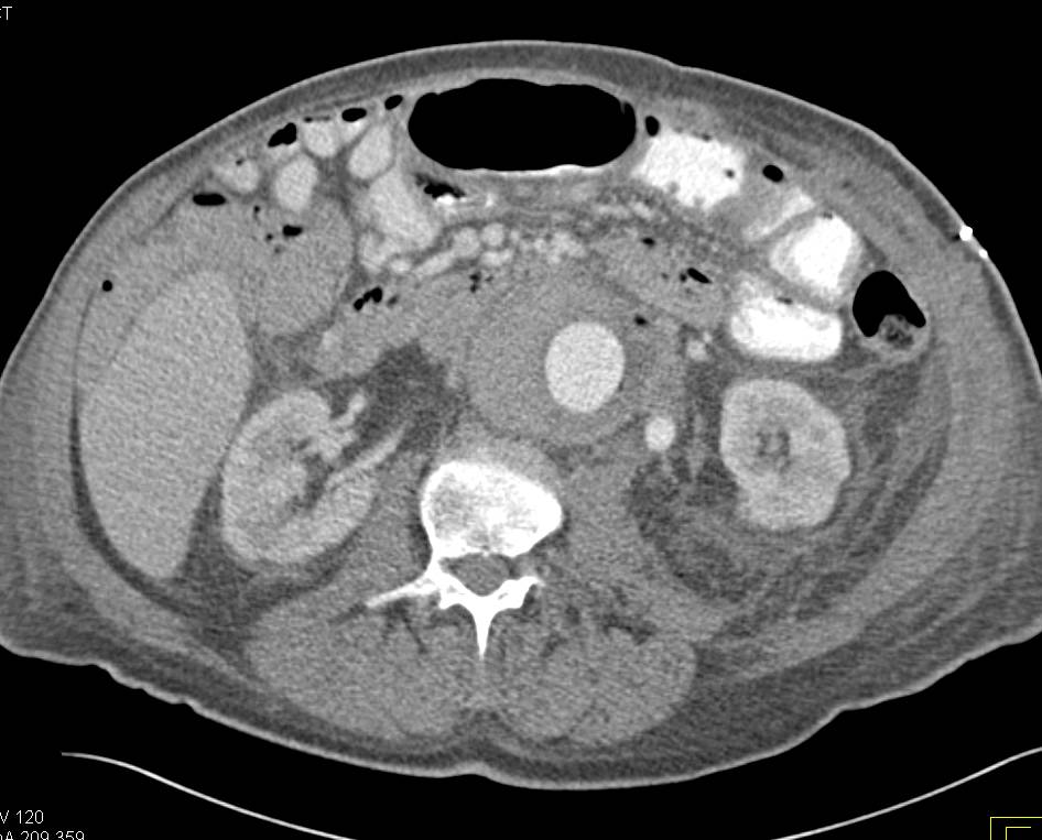
Aortic Aneurysm with Aorto-Enteric Fistulae. Note the Air in the Aortic Sac.
THIS IS CASE
4,691
OF
8,651
