
- 6
- 7
- ,
- 0
- 3
- 6
To Quiz Yourself: Select OFF by clicking the button to hide the diagnosis & additional resources under the case.
Quick Browser: Select ON by clicking the button to hide the additional resources for faster case review.
CASE NUMBER
4,064
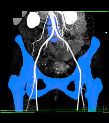
Diagnosis
Sgap Flap Planning to Define Gluteal Arteries
THIS IS CASE
4,064
OF
8,647
