
- 6
- 7
- ,
- 0
- 8
- 8
To Quiz Yourself: Select OFF by clicking the button to hide the diagnosis & additional resources under the case.
Quick Browser: Select ON by clicking the button to hide the additional resources for faster case review.
CASE NUMBER
3,948
Diagnosis
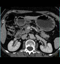
Intraductal Papillary Mucinous Neoplasm (IPMN) With Normal Splenic Artery and Vein
THIS IS CASE
3,948
OF
8,652
