
- 6
- 7
- ,
- 0
- 8
- 8
To Quiz Yourself: Select OFF by clicking the button to hide the diagnosis & additional resources under the case.
Quick Browser: Select ON by clicking the button to hide the additional resources for faster case review.
CASE NUMBER
3,934
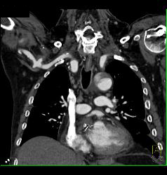
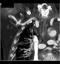
Diagnosis
Pulmonary Embolism (PE) in Left Lobe Lung
THIS IS CASE
3,934
OF
8,652
