
- 6
- 7
- ,
- 0
- 8
- 8
To Quiz Yourself: Select OFF by clicking the button to hide the diagnosis & additional resources under the case.
Quick Browser: Select ON by clicking the button to hide the additional resources for faster case review.
CASE NUMBER
3,917
Diagnosis
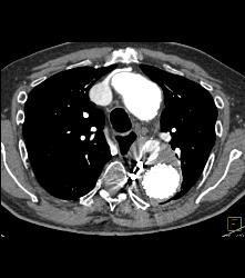
Endovascular Stent With Leak. Also Note Right Axillary Artery Aneurysm
THIS IS CASE
3,917
OF
8,652
