
- 6
- 7
- ,
- 0
- 8
- 8
To Quiz Yourself: Select OFF by clicking the button to hide the diagnosis & additional resources under the case.
Quick Browser: Select ON by clicking the button to hide the additional resources for faster case review.
CASE NUMBER
3,670
Diagnosis
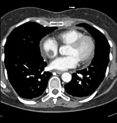
SVC Occlusion With Huge Collaterals and Thrombus Into Right Atrium
THIS IS CASE
3,670
OF
8,652
