
- 6
- 7
- ,
- 0
- 8
- 8
To Quiz Yourself: Select OFF by clicking the button to hide the diagnosis & additional resources under the case.
Quick Browser: Select ON by clicking the button to hide the additional resources for faster case review.
CASE NUMBER
3,626
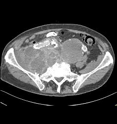
Diagnosis
Iliac Artery Aneurysm With Iliopsoas Bleed
THIS IS CASE
3,626
OF
8,652
