
- 6
- 7
- ,
- 0
- 8
- 8
To Quiz Yourself: Select OFF by clicking the button to hide the diagnosis & additional resources under the case.
Quick Browser: Select ON by clicking the button to hide the additional resources for faster case review.
CASE NUMBER
1,720
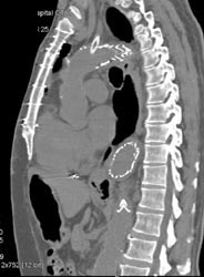
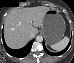
Diagnosis
Av Shunt in Liver
THIS IS CASE
1,720
OF
8,652
