
- 6
- 7
- ,
- 0
- 3
- 6
To Quiz Yourself: Select OFF by clicking the button to hide the diagnosis & additional resources under the case.
Quick Browser: Select ON by clicking the button to hide the additional resources for faster case review.
CASE NUMBER
1,219
Diagnosis
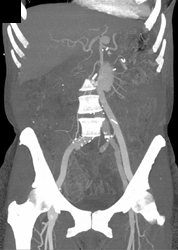
3D Mapping Using Bone Editing to Better Define the Vascular Grafting Including A Fem-fem Graft
THIS IS CASE
1,219
OF
8,647
