
- 6
- 7
- ,
- 0
- 3
- 6
To Quiz Yourself: Select OFF by clicking the button to hide the diagnosis & additional resources under the case.
Quick Browser: Select ON by clicking the button to hide the additional resources for faster case review.
CASE NUMBER
1,209
Diagnosis
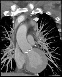
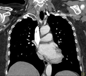
Thyroid Cancer Invades the Right Subclavian and Carotid Aa
THIS IS CASE
1,209
OF
8,647
