
- 6
- 7
- ,
- 0
- 3
- 6
To Quiz Yourself: Select OFF by clicking the button to hide the diagnosis & additional resources under the case.
Quick Browser: Select ON by clicking the button to hide the additional resources for faster case review.
CASE NUMBER
1,205
Diagnosis
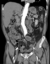
Collaterals Due to Cavernous Transformation of the Portal Vein (CTPV) Well Defined
THIS IS CASE
1,205
OF
8,647
