
- 6
- 7
- ,
- 0
- 8
- 8
To Quiz Yourself: Select OFF by clicking the button to hide the diagnosis & additional resources under the case.
Quick Browser: Select ON by clicking the button to hide the additional resources for faster case review.
CASE NUMBER
330
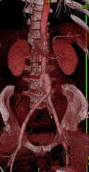
Diagnosis
Aortic Ulceration With Hematoma in Wall of Aorta
THIS IS CASE
330
OF
8,652
