
- 1
- 4
- ,
- 3
- 6
- 6
To Quiz Yourself: Select OFF by clicking the button to hide the diagnosis & additional resources under the case.
Quick Browser: Select ON by clicking the button to hide the additional resources for faster case review.
CASE NUMBER
657
Diagnosis
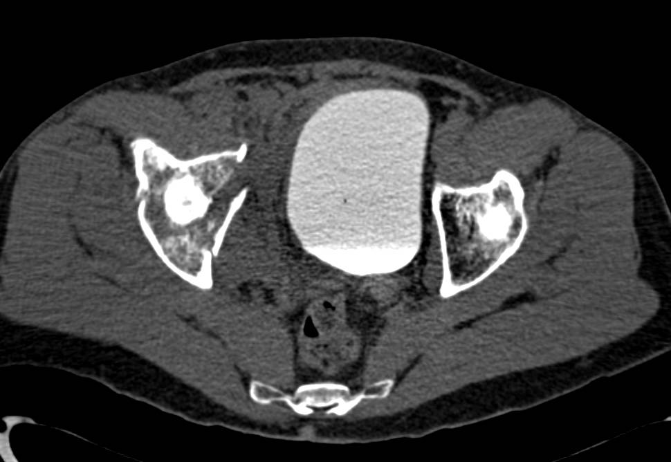
Trauma with CTA and CT Cystogram with Pelvic Fractures. No evidence of Vascular Injury
THIS IS CASE
657
OF
1,515
