
- 1
- 1
- ,
- 5
- 9
- 8
To Quiz Yourself: Select OFF by clicking the button to hide the diagnosis & additional resources under the case.
Quick Browser: Select ON by clicking the button to hide the additional resources for faster case review.
CASE NUMBER
1,902
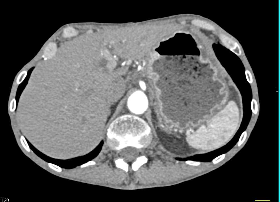
Diagnosis
Bulky Gastric Adenocarcinoma with Adenopathy
THIS IS CASE
1,902
OF
2,025
