
- 1
- 1
- ,
- 5
- 9
- 8
To Quiz Yourself: Select OFF by clicking the button to hide the diagnosis & additional resources under the case.
Quick Browser: Select ON by clicking the button to hide the additional resources for faster case review.
CASE NUMBER
1,883
Diagnosis
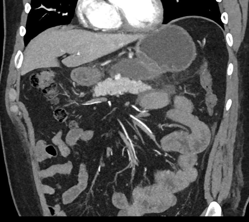
Gastric Adenocarcinoma in the Body of the Stomach
THIS IS CASE
1,883
OF
2,025
