
- 1
- 1
- ,
- 6
- 5
- 8
To Quiz Yourself: Select OFF by clicking the button to hide the diagnosis & additional resources under the case.
Quick Browser: Select ON by clicking the button to hide the additional resources for faster case review.
CASE NUMBER
1,302
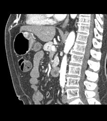
Diagnosis
Glomus Tumor
THIS IS CASE
1,302
OF
2,029
