
- 1
- 1
- ,
- 6
- 5
- 8
To Quiz Yourself: Select OFF by clicking the button to hide the diagnosis & additional resources under the case.
Quick Browser: Select ON by clicking the button to hide the additional resources for faster case review.
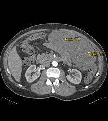
CASE NUMBER
1,271
Diagnosis
GIST Tumor
THIS IS CASE
1,271
OF
2,029
