
- 1
- 1
- ,
- 6
- 7
- 5
To Quiz Yourself: Select OFF by clicking the button to hide the diagnosis & additional resources under the case.
Quick Browser: Select ON by clicking the button to hide the additional resources for faster case review.
CASE NUMBER
1,106
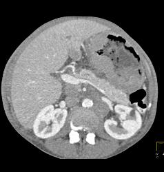
Diagnosis
Gastric Lymphoma With Nodes and Ulceration
THIS IS CASE
1,106
OF
2,031
