
- 1
- 1
- ,
- 6
- 5
- 8
To Quiz Yourself: Select OFF by clicking the button to hide the diagnosis & additional resources under the case.
Quick Browser: Select ON by clicking the button to hide the additional resources for faster case review.
CASE NUMBER
1,100
Diagnosis
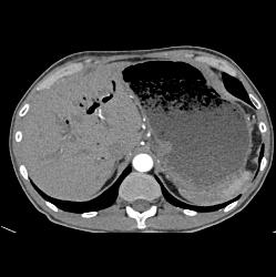
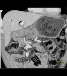
Antral Carcinoma With Peritoneal Tumor Implants
THIS IS CASE
1,100
OF
2,029
