
- 1
- 1
- ,
- 6
- 5
- 8
To Quiz Yourself: Select OFF by clicking the button to hide the diagnosis & additional resources under the case.
Quick Browser: Select ON by clicking the button to hide the additional resources for faster case review.
CASE NUMBER
1,044
Diagnosis
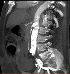
Gastric and Esophageal Emphysematous Changes With Portal Vein Air Compatible With Massive Infarction
THIS IS CASE
1,044
OF
2,029
