
- 1
- 1
- ,
- 6
- 5
- 8
To Quiz Yourself: Select OFF by clicking the button to hide the diagnosis & additional resources under the case.
Quick Browser: Select ON by clicking the button to hide the additional resources for faster case review.
CASE NUMBER
939
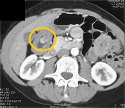
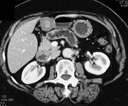
Diagnosis
Canada Cronkite Stomach With Multiple Polyps
THIS IS CASE
939
OF
2,029
