
- 1
- 1
- ,
- 6
- 5
- 8
To Quiz Yourself: Select OFF by clicking the button to hide the diagnosis & additional resources under the case.
Quick Browser: Select ON by clicking the button to hide the additional resources for faster case review.
CASE NUMBER
912
Diagnosis
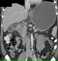
Gastric Cancer at Gastroesophageal (GE) Junction With Celiac Nodes
THIS IS CASE
912
OF
2,029
