
- 1
- 1
- ,
- 6
- 5
- 8
To Quiz Yourself: Select OFF by clicking the button to hide the diagnosis & additional resources under the case.
Quick Browser: Select ON by clicking the button to hide the additional resources for faster case review.
CASE NUMBER
866
Diagnosis
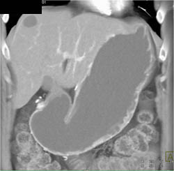
Gastric Cancer With Perigastric Spread in 3D
THIS IS CASE
866
OF
2,029
