
- 1
- 1
- ,
- 6
- 5
- 8
To Quiz Yourself: Select OFF by clicking the button to hide the diagnosis & additional resources under the case.
Quick Browser: Select ON by clicking the button to hide the additional resources for faster case review.
CASE NUMBER
842
Diagnosis
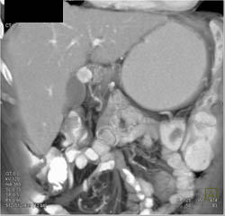
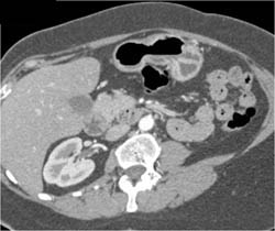
Multiple Vascular Tumors in Duodenum and Stomachmultiple Vascular Tumors in Duodenum and Stomach
THIS IS CASE
842
OF
2,029
