
- 1
- 1
- ,
- 6
- 5
- 8
To Quiz Yourself: Select OFF by clicking the button to hide the diagnosis & additional resources under the case.
Quick Browser: Select ON by clicking the button to hide the additional resources for faster case review.
CASE NUMBER
816
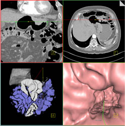
Diagnosis
Antral Ulcer With Gastric Outlet Obstruction
THIS IS CASE
816
OF
2,029
