
- 1
- 1
- ,
- 6
- 7
- 5
To Quiz Yourself: Select OFF by clicking the button to hide the diagnosis & additional resources under the case.
Quick Browser: Select ON by clicking the button to hide the additional resources for faster case review.
CASE NUMBER
665
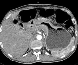
Diagnosis
Gastric Adenocarcinoma
THIS IS CASE
665
OF
2,031
