
- 1
- 1
- ,
- 6
- 5
- 8
To Quiz Yourself: Select OFF by clicking the button to hide the diagnosis & additional resources under the case.
Quick Browser: Select ON by clicking the button to hide the additional resources for faster case review.
CASE NUMBER
209
Diagnosis
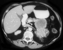
Normal Gastric Fold Enhancement. (note Ascites and Dilated Intrahepatic Ducts)
THIS IS CASE
209
OF
2,029
