
- 1
- 1
- ,
- 6
- 5
- 8
To Quiz Yourself: Select OFF by clicking the button to hide the diagnosis & additional resources under the case.
Quick Browser: Select ON by clicking the button to hide the additional resources for faster case review.
CASE NUMBER
130
Diagnosis
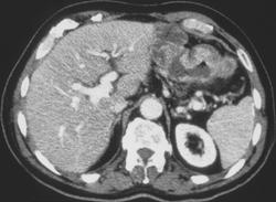
Otherwise Normal Stomach With Subtle Gastric Tumor (adenocarcinoma)
THIS IS CASE
130
OF
2,029
