
- 1
- 1
- ,
- 6
- 5
- 8
To Quiz Yourself: Select OFF by clicking the button to hide the diagnosis & additional resources under the case.
Quick Browser: Select ON by clicking the button to hide the additional resources for faster case review.
CASE NUMBER
107
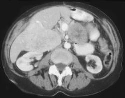
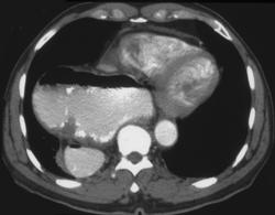
Diagnosis
Metastatic Implants on the Stomach and Liver
THIS IS CASE
107
OF
2,029
