
- 8
- ,
- 6
- 8
- 7
To Quiz Yourself: Select OFF by clicking the button to hide the diagnosis & additional resources under the case.
Quick Browser: Select ON by clicking the button to hide the additional resources for faster case review.
CASE NUMBER
1,430
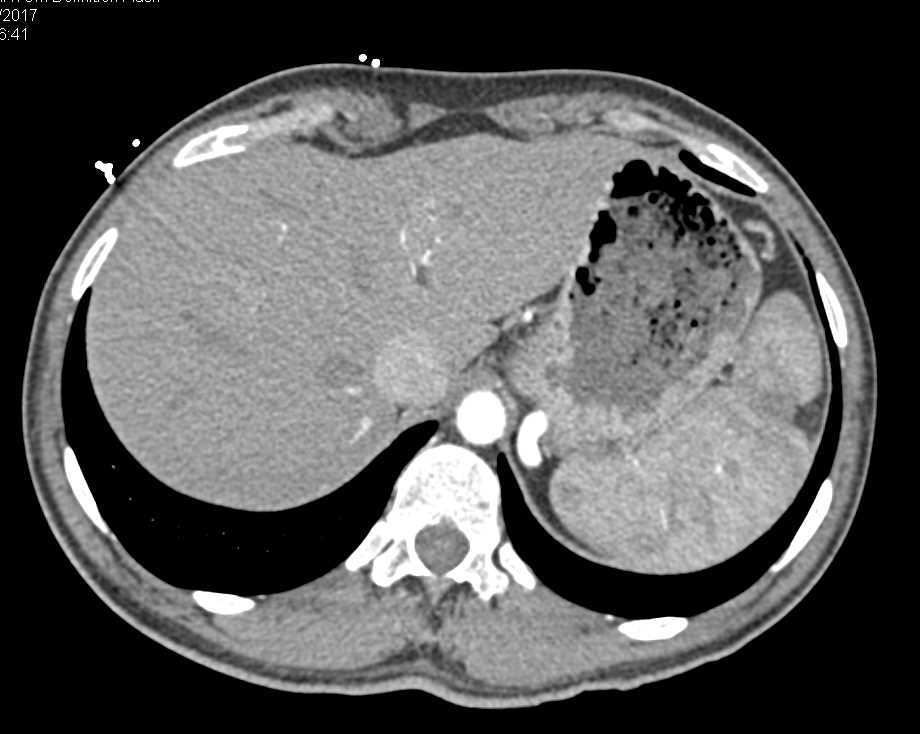
Diagnosis
Splenic Infarcts
THIS IS CASE
1,430
OF
1,518
