
- 8
- ,
- 6
- 8
- 7
To Quiz Yourself: Select OFF by clicking the button to hide the diagnosis & additional resources under the case.
Quick Browser: Select ON by clicking the button to hide the additional resources for faster case review.
CASE NUMBER
1,180
Diagnosis
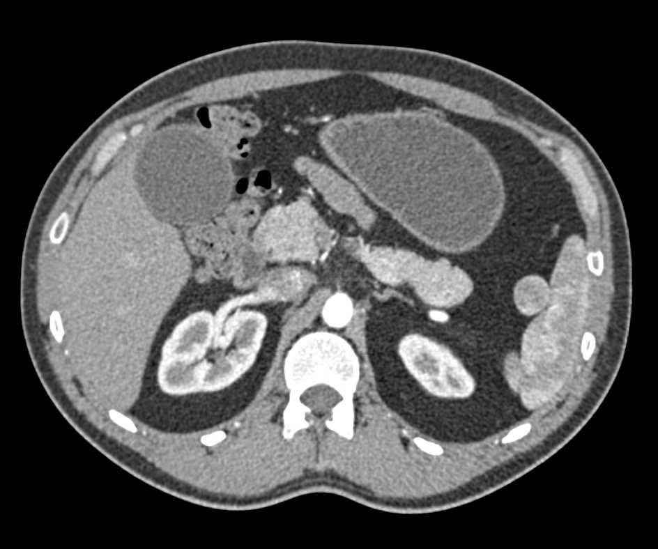
Carcinoma of the Tail of the Pancreas Involves the Spleen and Carcinomatosis
THIS IS CASE
1,180
OF
1,518
