
- 8
- ,
- 6
- 9
- 3
To Quiz Yourself: Select OFF by clicking the button to hide the diagnosis & additional resources under the case.
Quick Browser: Select ON by clicking the button to hide the additional resources for faster case review.
CASE NUMBER
1,016
Diagnosis
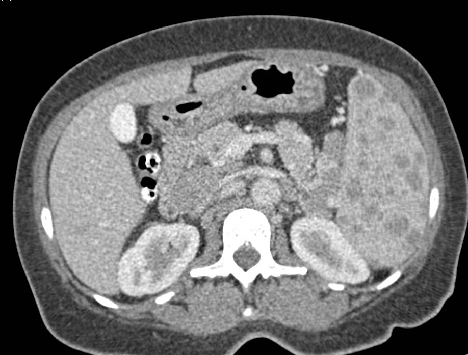
Lymphoma Involves the Liver and Spleen and Well as Extensive Nodes Especially Around the Pancreas
THIS IS CASE
1,016
OF
1,519
