
- 8
- ,
- 6
- 9
- 3
To Quiz Yourself: Select OFF by clicking the button to hide the diagnosis & additional resources under the case.
Quick Browser: Select ON by clicking the button to hide the additional resources for faster case review.
CASE NUMBER
901
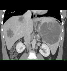
Diagnosis
Lymphoma Involves Liver and Spleen
THIS IS CASE
901
OF
1,519
