
- 8
- ,
- 6
- 9
- 3
To Quiz Yourself: Select OFF by clicking the button to hide the diagnosis & additional resources under the case.
Quick Browser: Select ON by clicking the button to hide the additional resources for faster case review.
CASE NUMBER
861
Diagnosis
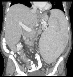
Splenomegaly With Portal Hypertension and Nodes in the Porta
THIS IS CASE
861
OF
1,519
