
- 8
- ,
- 6
- 9
- 3
To Quiz Yourself: Select OFF by clicking the button to hide the diagnosis & additional resources under the case.
Quick Browser: Select ON by clicking the button to hide the additional resources for faster case review.
CASE NUMBER
566
Diagnosis
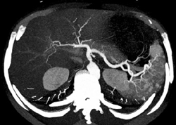
Pancreatic Cancer Occludes Splenic Arteries and Vein With Splenic Infarction
THIS IS CASE
566
OF
1,519
