
- 8
- ,
- 6
- 9
- 3
To Quiz Yourself: Select OFF by clicking the button to hide the diagnosis & additional resources under the case.
Quick Browser: Select ON by clicking the button to hide the additional resources for faster case review.
CASE NUMBER
135
Diagnosis
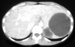
Splenic Hemangioma in Patient Klippel-Trenaunay-Weber (KTW) Syndrome
THIS IS CASE
135
OF
1,519
