
- 8
- ,
- 6
- 8
- 7
To Quiz Yourself: Select OFF by clicking the button to hide the diagnosis & additional resources under the case.
Quick Browser: Select ON by clicking the button to hide the additional resources for faster case review.
CASE NUMBER
37
Diagnosis
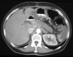
Cirrhosis With Portal Hypertension and Splenic Infarction
THIS IS CASE
37
OF
1,518
