
- 1
- 9
- ,
- 0
- 8
- 5
To Quiz Yourself: Select OFF by clicking the button to hide the diagnosis & additional resources under the case.
Quick Browser: Select ON by clicking the button to hide the additional resources for faster case review.
CASE NUMBER
2,245
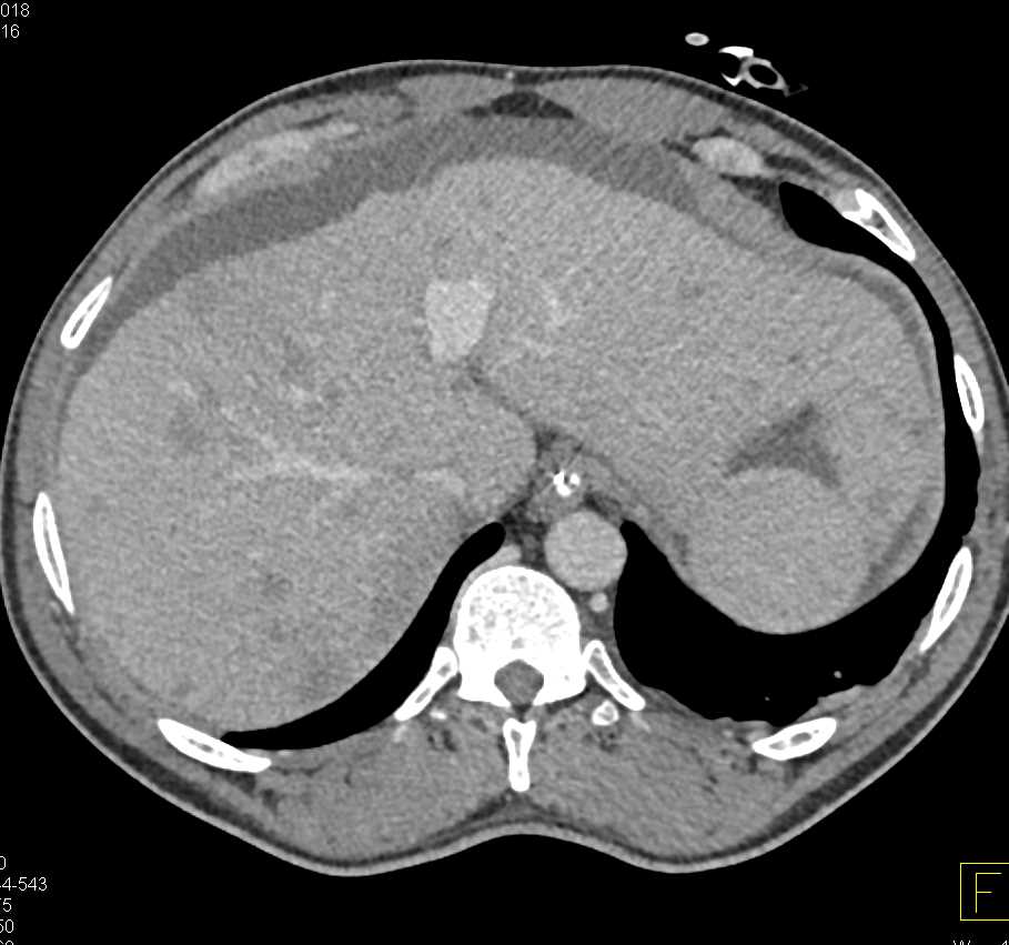
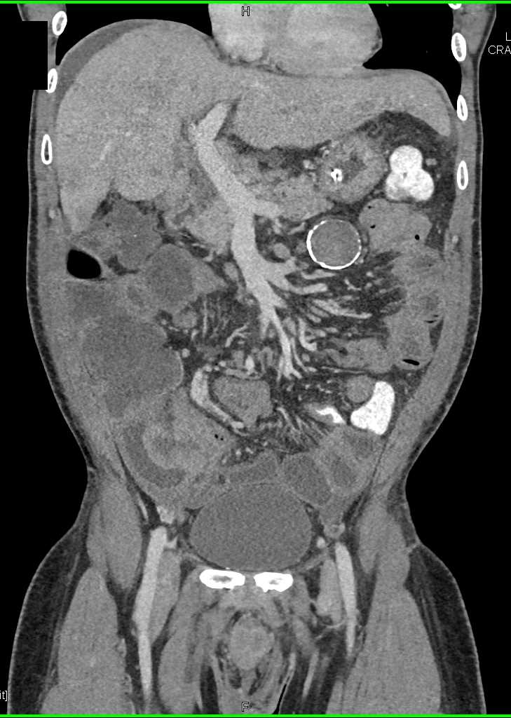
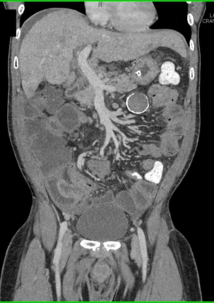
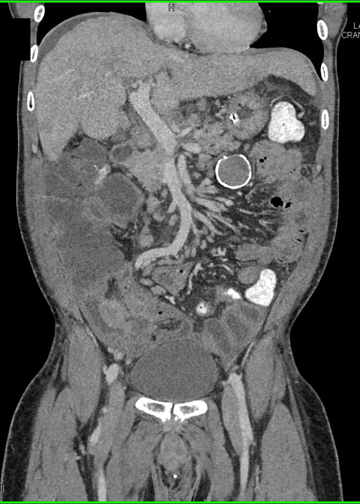
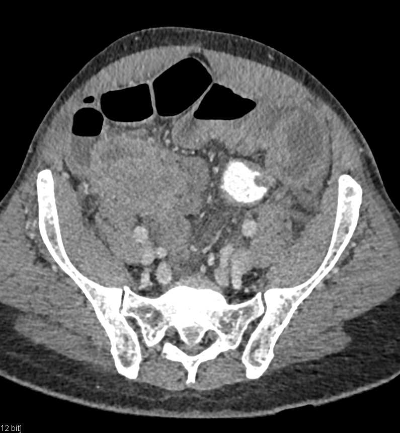
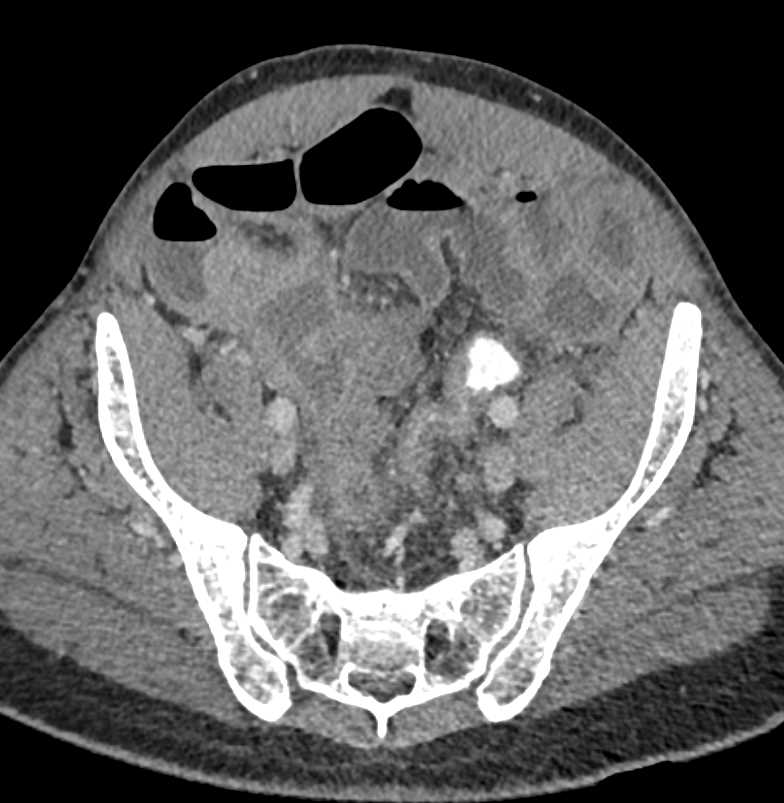
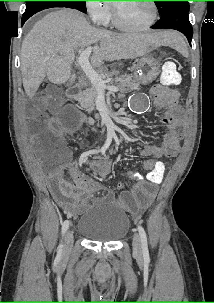
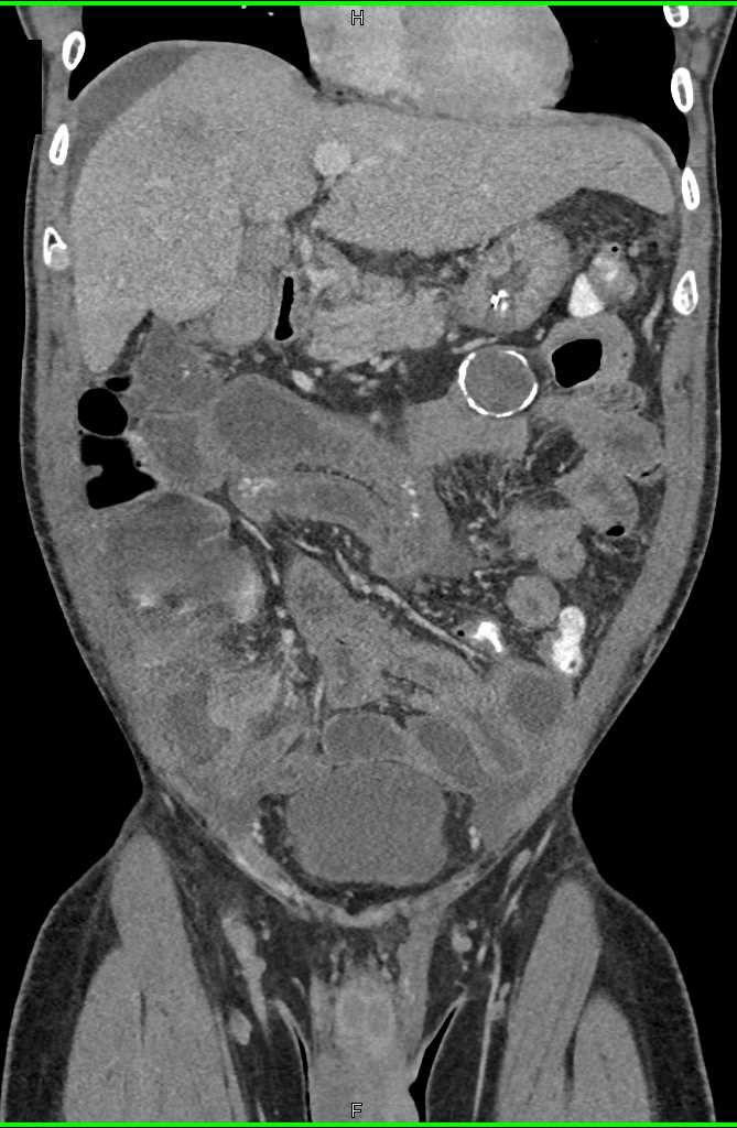
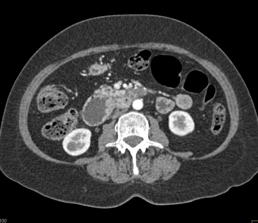
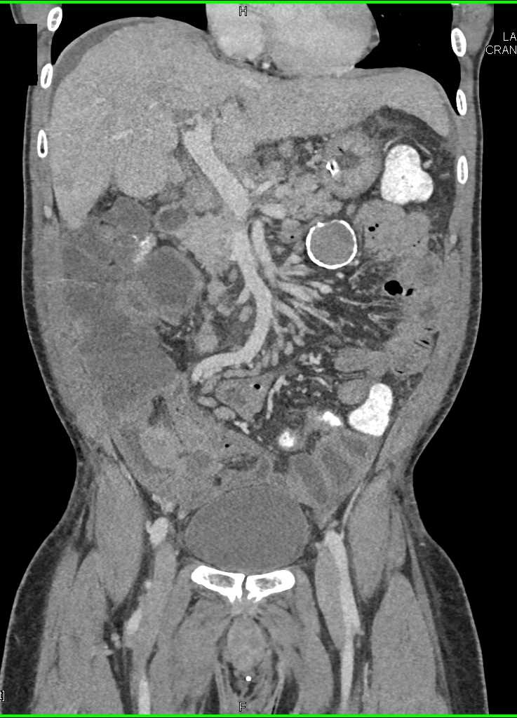
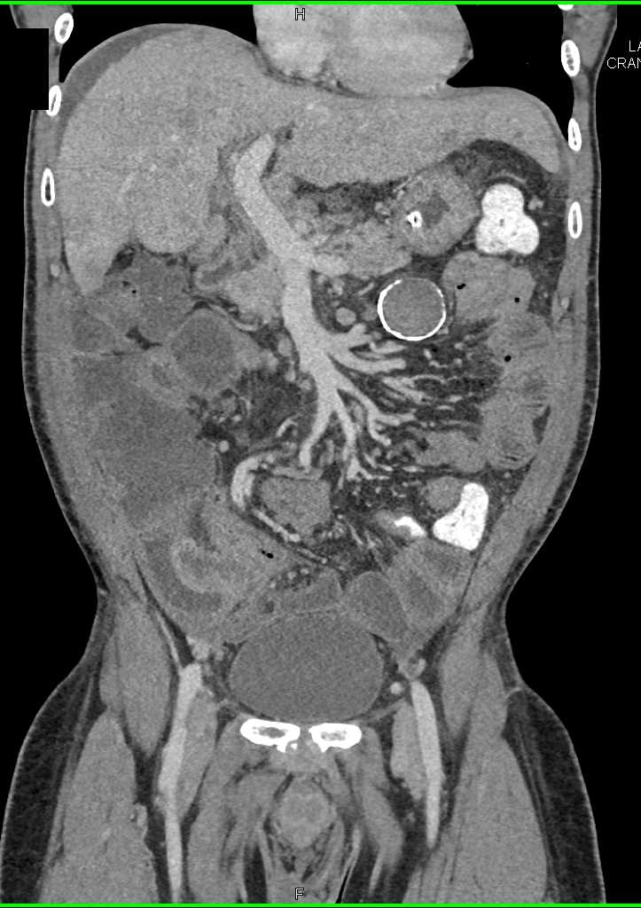
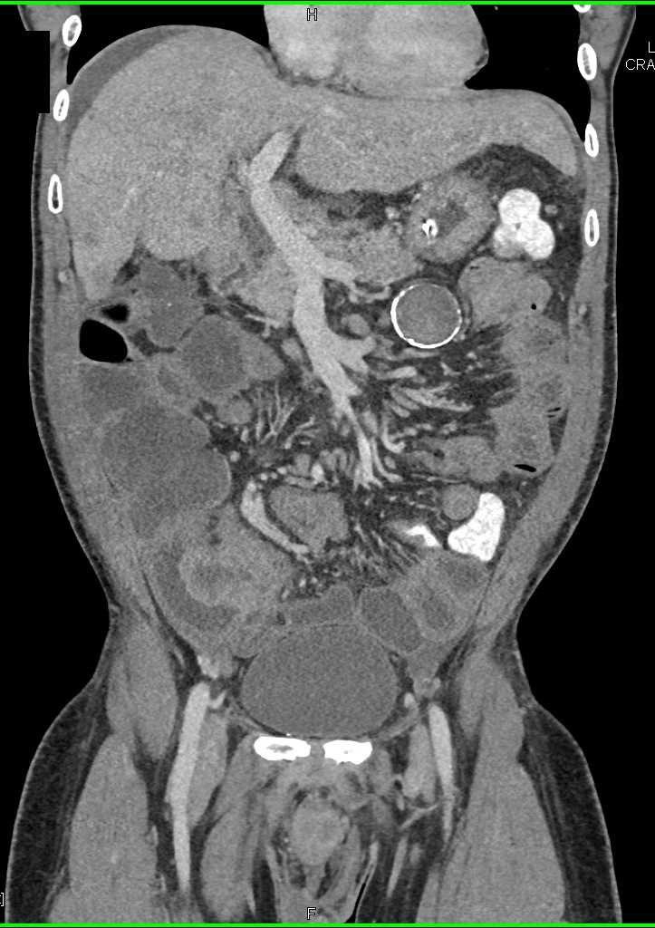
Diagnosis
Small Bowel Carcinoma with Carcinomatosis
THIS IS CASE
2,245
OF
2,245
