
- 1
- 9
- ,
- 0
- 3
- 6
To Quiz Yourself: Select OFF by clicking the button to hide the diagnosis & additional resources under the case.
Quick Browser: Select ON by clicking the button to hide the additional resources for faster case review.
CASE NUMBER
2,242
Diagnosis
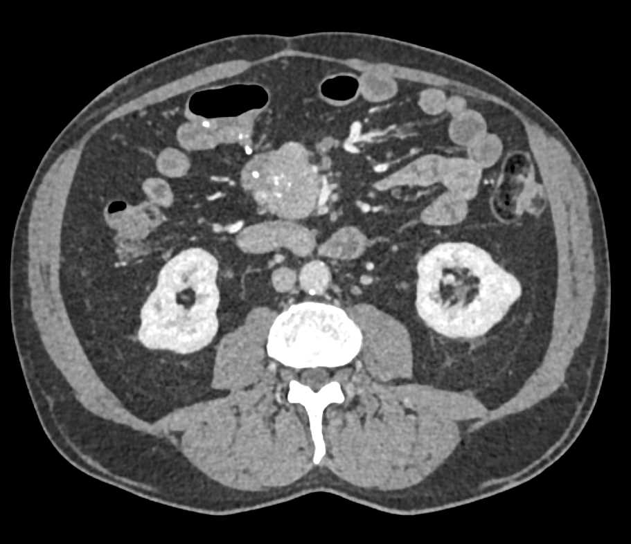
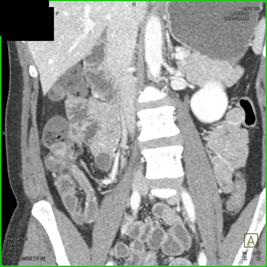
Carcinoid Tumor with Desmoplastic Reaction
THIS IS CASE
2,242
OF
2,242